
The Smile Team
friendly services
Gum disease is a common disease of the surrounding tissues supporting our teeth. Gum disease can impact on your general wellbeing, including your chance of heart disease, stroke, respiratory disease, and pregnancy just to name a few. The Smile Team at Balwyn North are dedicated to helping you minimize its impact.
Gum disease is one of the most common diseases around, and most of the time it’s a silent disease. At the early stages you may notice gums that bleeding when brushed or flossed. This is a sign that the body is displaying a light infection. In advanced forms it can appear as wobbly loose teeth with lots of bleeding leading to earlier tooth loss than necessary. It can also be a strong cause of halitosis (bad breath).

In most circumstances gum disease in the form of Gingivitis is manageable. Gingivitis can be controlled via careful examinations to measure the gum disease and thorough hygiene cleans to maintain good gum health. However, in the form of Periodontitis, it can be very difficult if not impossible to treat at the advanced stages. Therefore excellent regular self oral hygiene yourself, and quality help from an experienced dental team that make the effort to carefully check your gum health is important to avoid severe Periodontitis.
Although gum disease is common, it is different in every patient. For some patients the risk of developing severe gum disease is low, for others it can be high. For some it’s on one or two teeth, for others it’s on most of the teeth.
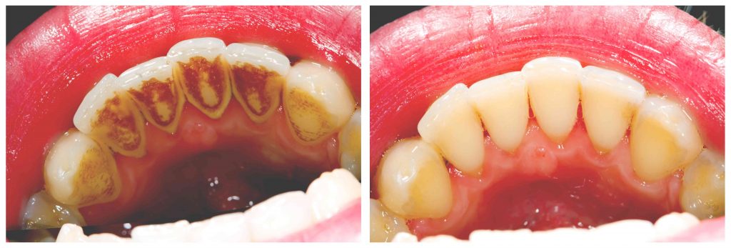
Very specific instruments are used to target each and every surface of the teeth to mechanically release mineral and bacteria above and below the gums. Only when this debris is completely removed can the gum disease reverse or stabilize. Although this falls under a ‘clean’, this procedure requires a high level of skill set, precision and clinical time. The care and technique used makes all the difference in terms of whether or not the gum disease is truly managed. A ‘quick clean’ will only remove stains you can see, but often make no difference to significant underlying gum disease.

It takes a dedicated team to tackle gum disease. As a part of modern dental care with a preventive approach to maximise the longevity of the teeth with as little restorative work as possible, more focus is given to the careful examination of teeth and the hygiene clean itself. For most adults it’s simply not possible (not in a good long term dental care sense) to carry out a combined examination and hygiene clean within 10 to 20 minutes. In order to manage gum disease, The Smile Team at Balwyn North dentists and oral health therapists work together to preserve your dental health for the long term through dedicating more time and care to this very important part of modern dental care and dental health.

Electric toothbrushes remove twice as much plaque compared to standard manual toothbrushes. A good electric toothbrush can oscillate (circular spin) up to 8,800 times per minute and pulsate (vibrate) up to 40,000 times per minute on the surfaces used, this is why we recommend it frequently to patients who have active gum disease; show suboptimal plaque control around a certain area without significant improvements over time; as well as those where tartar comes back quickly despite having regular hygiene appointments.
Brushing well may eliminate plaque on 60% of the surfaces on your teeth, but you cannot get to the remaining 40% without some sort of interdental cleaning habits. This has nothing to do with your brushing technique, but purely the fact that our teeth are 3D objects with 5 surfaces in total and all toothbrushes are only designed for the 3 surfaces that are easily accessible. Not cleaning interdentally is equivalent to taking a shower everyday but never washing your hair.
Pros: can fit through small gaps/tight contacts easily, especially areas of crowding
Cons: technique sensitive, a lot of people find it hard to reach around their back teeth
Pros: easy to use for children, and those who have difficulty reaching their back teeth, they are also individually packaged, therefore easy to carry around
Cons: more costly than floss, hard to control pressure therefore easy to ‘jam’ into the gums
Pros: perfect for bridges and fixed orthodontic retainers (a metal bar, usually sits behind upper and lower front teeth), thicker than floss, can be more efficient in terms of plaque removal
Cons: threads off easily especially around restorations, some people find it hard to use, can be costly – difficult to encourage daily usage.
Pros: designed to target ‘gaps’ in between teeth, including bridges, orthodontic appliances and surfaces around a lone standing tooth. Very easy to use and carry around, removes plaque more efficiently in the areas mentioned, and can be kept for repeated usage if kept clean.
Cons: more expensive than floss, does not fit crowded areas/tight contacts.
Standard off the shelf supermarket mouthrinses unfortunately are limited in their ability to remove plaque bacteria, and are not much better at helping you to clean than toothbrushing alone. Flossing, interproximal brushes, and to a lesser degree waterpik type of cleaning devices are more useful at removing bacteria than mouthrinses. Medicated chlorxhexidine type of mouthrinses are effective at reducing bacteria but can have side effects if used over a prolonged period of time that require consideration.
Bad breath can be helped through the use of a mild alcohol free antiseptic mouth rinse. However the condition can be caused by a number of reasons including gum disease, tooth infection, recreational habits e.g. smoking and many other factors such as systemic disease. It is important to find out the underlying issue before going straight to the dental product shelf. Sometimes an assessment with both you’re The Smile Team dentist and your GP is necessary to determine the true origin of this problem.
Fluoride mouth rinses can be very beneficial for those who have a higher risk towards decay. The importance of a diet low in sugar and acid cannot be stressed less, but sometimes high fluoride toothpastes, tooth mousse, and fluoride rinses can be a good adjunct as well. Consult one of your clinicians and they will make up a personal recommendation according to your specific dental condition. Note that an excessive exposure to fluoride may not be ideal in the long term especially in children.
At The Smile Team in Balwyn North, each of our experienced hygienist have a number one priority is always your comfort. If you have had sensitivity/discomfort with your previous hygiene visits, please let us know, and there is always something we can do to help eliminate/greatly reduce this during your visit with us. We will always work within your comfort levels and will take the time to help to provide additional antisensitivity paste or numbing gel to minimize sensations where required. We are dedicated to ensure the longevity of your teeth to their maximum potentials.
Chlorhexidine is proven to be one of the most effective chemicals against gum disease. It is available as gels and mouthrinses. It can help to speed up the healing process of your gum tissues after an extraction, surgical procedure, or a scale and root planning session; highly reduces post – operative discomfort; and acts as an adjunct to the treatment of aggressive/acute/refractory/advanced gum disease. The downside however, is that chlorhexidine mouth rinses have the potential to cause staining on teeth over a period of prolonged use, as well as altered taste sensations on the tongue. Hence our patients at The Smile Team Balwyn North are monitored for their use of the product, according to the severity of their gum condition and the concentration of the products prescribed.
Antibiotics can be useful for certain cases of aggressive gum disease to help reduce gum infection. However, antibiotics are not a long term solution to improving gum health and don’t actually treat the cause of the problem which requires the appropriate mechanical cleaning.

“Being able to improve the health and appearance of my patient’s teeth gives them a lot of confidence in comfort, function and aesthetics. I love seeing this transformation.”

Dr Bradley Xue
“The most rewarding part of being a dentist is being able to create happy smiles and happy people”

“Whether it be to maintain a healthy mouth or a complete smile transformation, I love being a part of my patients journey to achieve their goals.”